빠른상담
1800-9356
회원가입
로그인
미플러스 코성형
밸런스윤곽코성형
3D-CT 코성형
자가조직 코성형
코성형 가이드
미플러스 코성형 장점
코재수술
미플러스 코재수술
유형별 콧등 재수술
유형별 코끝 재수술
유형별 콧망울/비주 재수술
유형별 기타 재수술
유형별 코성형
낮은 코
콧등이 넓은 코
매부리코
휜코
복코(뭉툭한 코끝)
들창코(짧은 코)
화살코(긴 코)
콧망울 교정
비주 교정
남자 코성형
코와 같이하면 좋은 수술
비순각 교정수술
귀족수술
이마성형
무턱성형
얼굴지방이식
눈성형
미플러스 눈성형
쌍꺼풀
쌍커풀 재수술
눈매교정
앞트임
눈밑지방재배치
상안검/하안검
수술전후 사진/후기
전후사진
후기
수술전후셀카
모델지원
상담/예약
온라인상담
카톡상담
진료예약
진료예약 확인
병원소개
미플러스 소개
의료진 소개
병원 둘러보기
안전·사후관리 시스템
안내
공지사항
이벤트
진료시간/오시는길
전후사진
MIPLUS PLASTIC SURGERY
전체
코재수술
복코
매부리코
들창코/짧은 코
코 주변 수술
비주 교정
콧등이 넓은 코
낮은 코
화살코/긴 코
콧망울 교정
열린 분류
눈성형
45도
측면
정면
[눈성형] 쌍꺼풀 수술, 절개법 & 앞트임 수술
45도
측면
정면
[눈성형] 쌍꺼풀 수술, 절개법 & 앞트임 수술
45도
측면
정면
[눈성형] 쌍꺼풀 수술, 매몰법 & 앞트임 수술
45도
측면
정면
[눈성형] 쌍꺼풀 수술, 매몰법 & 앞트임 수술
45도
측면
정면
[눈성형] 쌍꺼풀 수술, 매몰법 & 앞트임 수술
45도
측면
정면
[눈성형] 눈 밑 지방 이동
45도
측면
정면
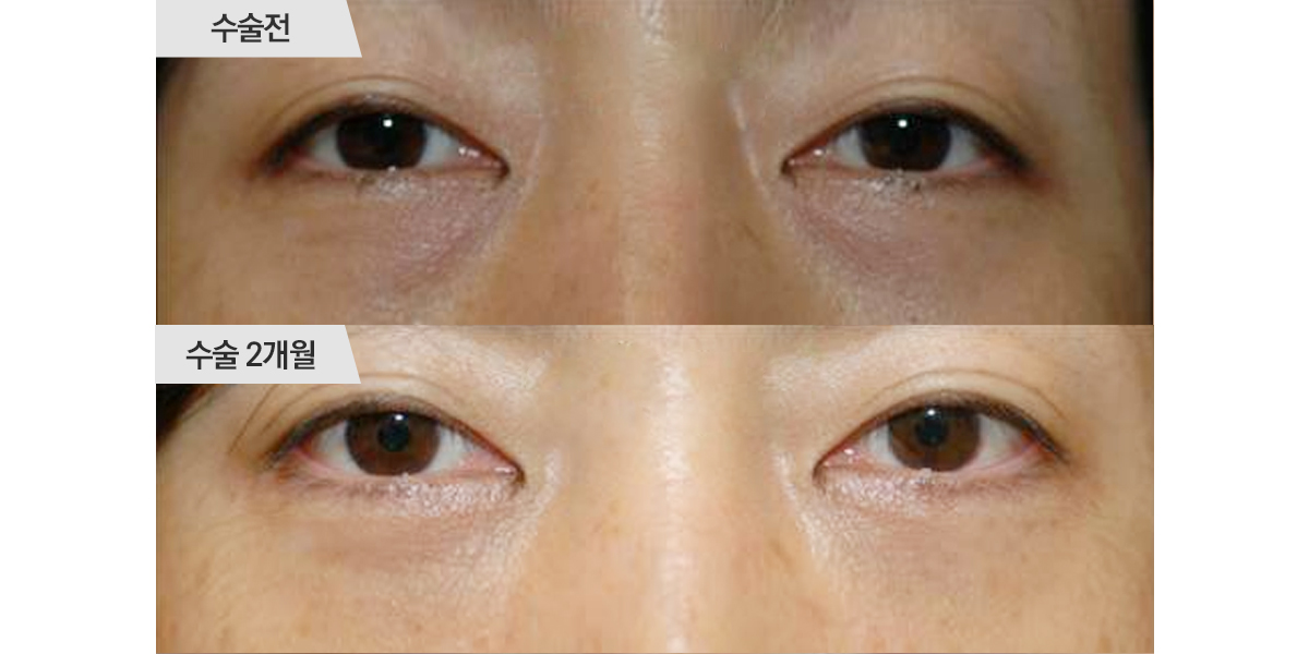
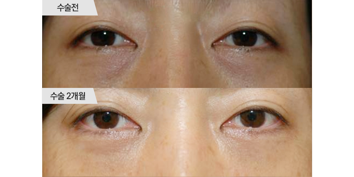
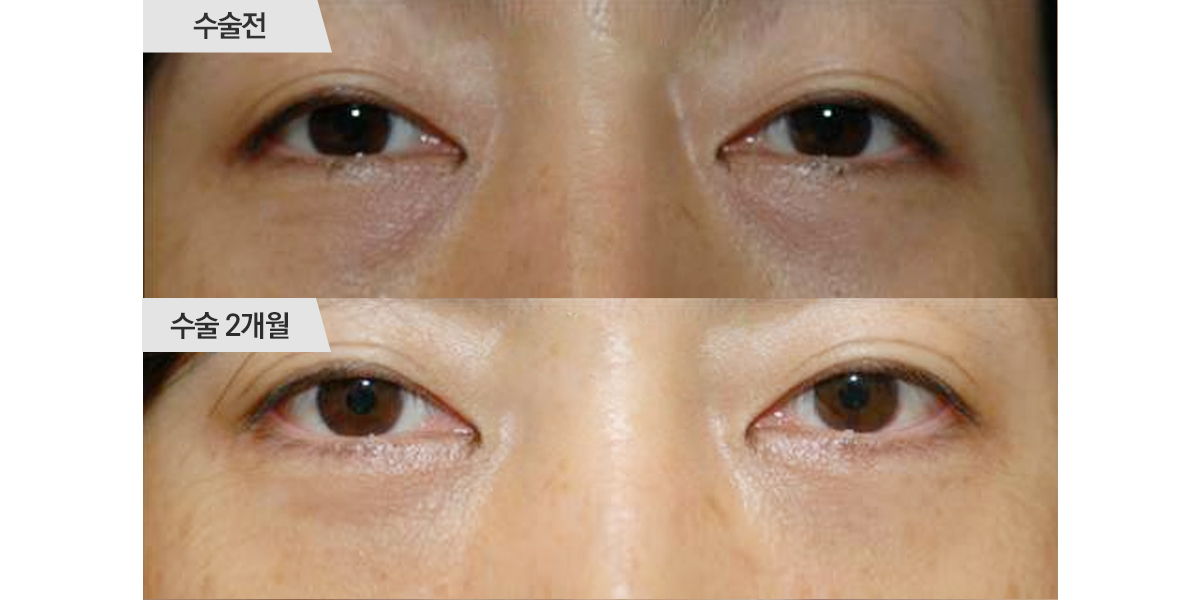
[눈성형] 눈매교정 수술
45도
측면
정면
[눈성형] 눈매교정 수술
22
[눈성형] 쌍꺼풀 수술, 절개법 & 앞트임 수술
21
[눈성형] 쌍꺼풀 수술, 절개법 & 앞트임 수술
20
[눈성형] 쌍꺼풀 수술, 매몰법 & 앞트임 수술
19
[눈성형] 쌍꺼풀 수술, 매몰법 & 앞트임 수술
18
[눈성형] 쌍꺼풀 수술, 매몰법 & 앞트임 수술
17
[눈성형] 눈 밑 지방 이동
16
[눈성형] 눈매교정 수술
15
[눈성형] 눈매교정 수술
열린
1
페이지
2
페이지
3
페이지
맨끝
목록
게시물 검색
검색대상
제목
내용
제목+내용
회원아이디
회원아이디(코)
글쓴이
글쓴이(코)
검색어
필수
로그인 후 이용해주세요.
자동로그인
회원가입
비밀번호 찾기